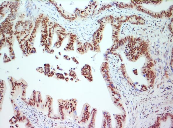
Anti-c-Jun, Clone 4H9
c-Jun is a component of the transcription factor AP-1 that binds and activates transcription at TRE/AP-1 elements and appears to be a major downstream target of the SAPK/JNK signaling pathway. The transcriptional activity of c-Jun is regulated by phosphorylation at Ser63 and Ser73. Extracellular signals including growth factors, transforming oncoproteins and UV irradiation stimulate phosphorylation of c-Jun at Ser63/73 and activate cJun dependent transcription. c-Jun antibodies are used to study the signal-transducing transcription factor of the AP1 family. c-Jun has been implicated in several areas of cell biology including cell cycle progression through the G1 phase, transformation and differentiation and has recently been linked to apoptosis. As well as its cell cycle attributes, c-Jun is a known proto-oncogene and is found to be significantly overexpressed in lung and breast cancers, making it a viable tumor marker.
| Intended Use | IVD |
|---|---|
| Antibody Type | Monoclonal |
| Clone | 4H9 |
| Source | Mouse |
| Tissue Type/Cancer Type | Stomach gland |
| Pack | 6 mL (RTU), 10 mL (RTU), 1 mL(Conc.), 0.5 mL (Conc.), 160 tests – Xmatrx Elite, 50 tests – Xmatrx Elite, 5 slides – Xmatrx, 5 slides – Manual, 50 tests – NanoVIP® |





