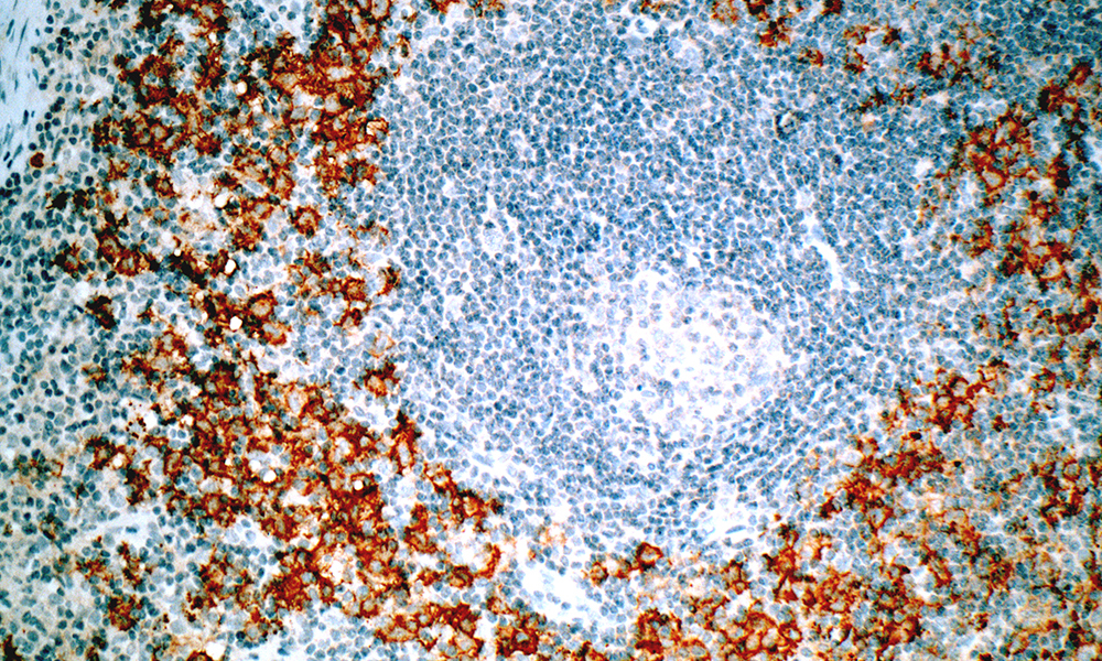
Anti-CD1a
CD1 is expressed by one of the five CD1 genes (CD1a, b, c, d, and e) on cortical thymocytes, Langerhans cells, and dendritic cells. It is absent from the surface of mature peripheral blood T cells however intracytoplasmic expression is detected on activated T lymphocytes. CD1 proteins regulates T-cell response to non-peptide lipid and glycolipid antigens and play a role in non-classical antigen presentation. Ab-5 detects cortical thymocytes, Langerhans cells in epidermis, dendritic cells of dermis and Langherhans cells of mucosa of tonsil. It may also detect small focal groups of lymphocytes outside the germinal centers of tonsil indicating a crossreaction with CD1b. This antibody is useful in the characterization of leukaemias and lymphomas are identified
| Intended Use | IVD |
|---|---|
| Antibody Type | Monoclonal |
| Clone | O10 |
| Source | Mouse |
| Tissue Type/Cancer Type | Lymph Node |
| Pack | 0.5 mL – Manual – Concentrate, 1 mL – Manual – Concentrate, 6 mL – Manual – RTU, 50 Tests – Automation – Xmatrx, 100 Tests – Automation – i6000, 160 Tests – Automation – Xmatrx, 5 slides – Xmatrx, 5 slides – Manual, 50 tests – NanoVIP® |





