Anti-CD5
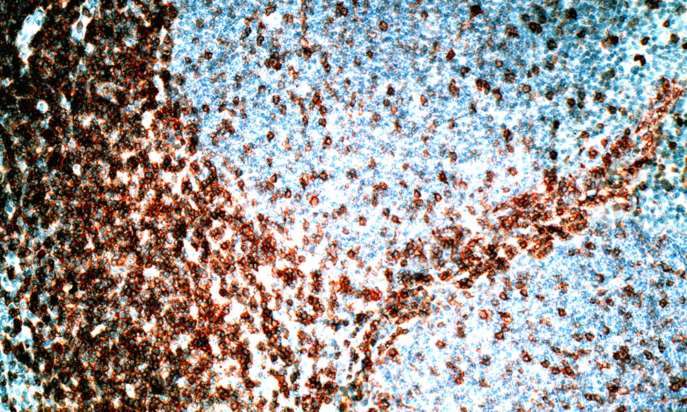
The CD5 antigen or T1, is a 67 kDa single chain glycoprotein expressed on normal and malignant T cells and by two B-cell neoplasms: lymphocytic leukemia and mantle cell lymphoma. It is found in high density on medullary thymocytes and in low density on cortical thymocytes. CD5 antigen is expressed in 95% of thymocytes and 72% of peripheral blood lymphocytes. In tumors, CD5 is expressed on T-cell malignancies, B-cell chronic lymphocytic leukemia (CLL)/small lymphocytic lymphoma (SLL), and mantle-cell lymphoma. It is a useful diagnostic tool for these tumors. In addition, anti-CD5 is helpful in diagnosis of thymic carcinoma (CD5 positive). Anti-CD5 antibody is a T-cell associated marker that is also expressed
| Intended Use | IVD |
|---|---|
| Antibody Type | Monoclonal |
| Clone | 4C7 |
| Source | Mouse |
| Tissue Type/Cancer Type | Tonsil |
| Pack | 0.5 mL – Manual – Concentrate, 1 mL – Manual – Concentrate, 6 mL – Manual – RTU, 50 Tests – Automation – Xmatrx, 100 Tests – Automation – i6000, 160 Tests – Automation – Xmatrx, 5 slides – Xmatrx, 5 slides – Manual, 50 tests – NanoVIP® |





