Career
0

Anti-CD79a

SKU: AN719GP Categories: , ,

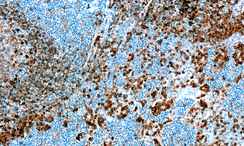
CD79a consists of two proteins, CD79a (mb-1) and CD79b (B29). CD79a recognizes the Ig-alpha protein and CD79b recognizes the Ig-beta protein of the B cell antigen component of the B-lymphocyte antigen receptor. This complex of polypeptides and immunoglobulins constitute the B cell antigen receptor. The two components of this complex are designated CD79a and CD79b. CD79a is an excellent marker for identification of normal and neoplastic B lymphocytes. It has been found to be co-expressed with CD23 in 10% of cases of T-lymphoblastic leukemia/lymphoma. Antibodies to CD79a may also be usedful in the differential diagnosis of Hodgkin?s disease

Intended Use

IVD

Antibody Type

Monoclonal

Clone

EP82

Source

Rabbit

Tissue Type/Cancer Type

Lymph Node

Pack

0.5 mL – Manual – Concentrate, 1 mL – Manual – Concentrate, 6 mL – Manual – RTU, 50 Tests – Automation – Xmatrx, 100 Tests – Automation – i6000, 160 Tests – Automation – Xmatrx, 5 slides – Xmatrx, 5 slides – Manual, 50 tests – NanoVIP®