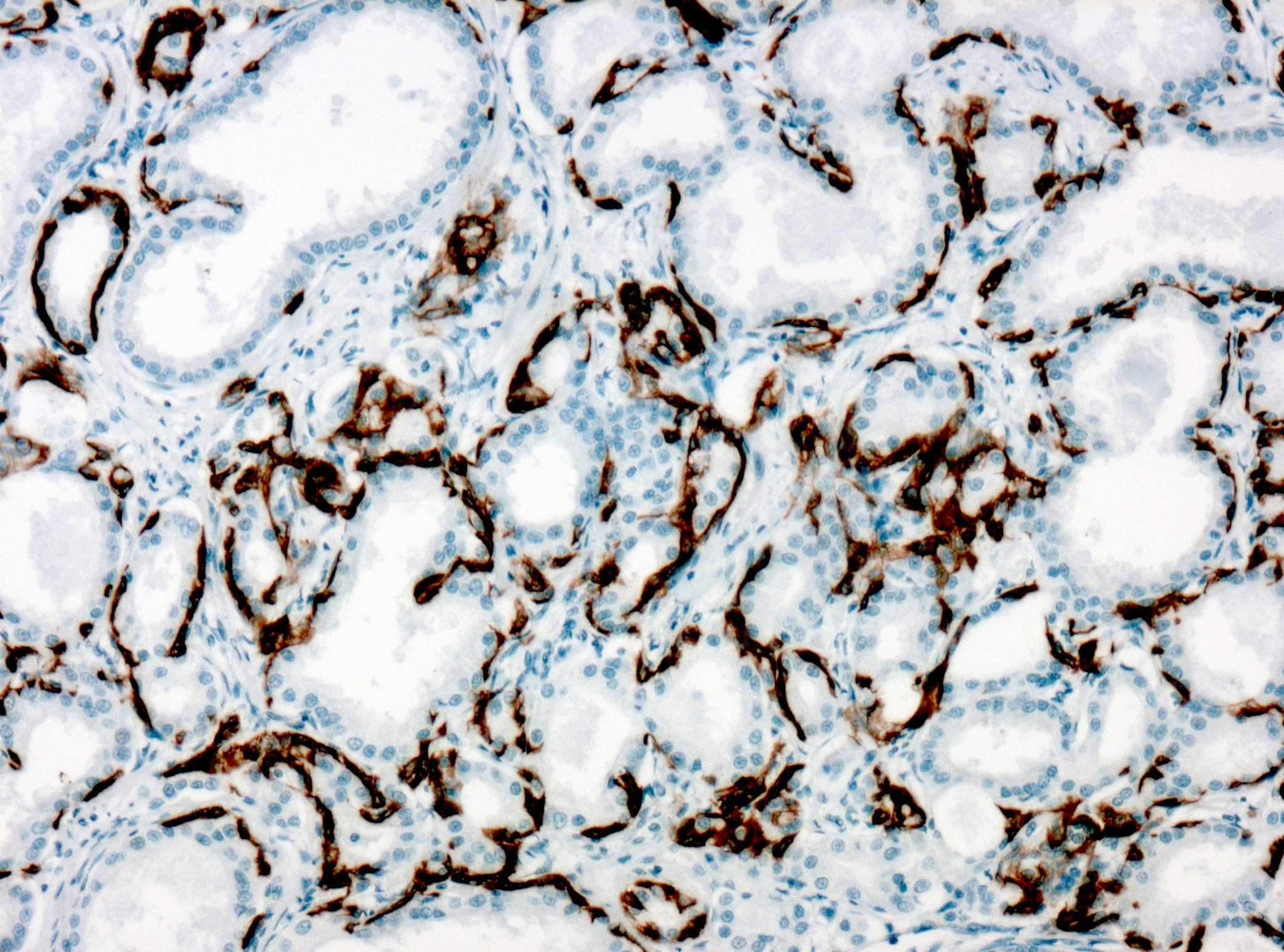
Anti-Cytokeratin 5 + Cytokeratin 14
Keratins are proteinacious intermediary filaments in cytoplasm of epithelial cells. keratin makes 10% to 30% of total protein expressed by stratified squamous epithelia. The type II keratin CK5 and type I keratin CK14 are bulk of the expressed keratin in epithelial cells, ?and are crucial for the development of 8-nm filaments. CK5 and calretinin are immunohistochemical markers used in various studies suggestive of mesothelioma, and their differential expression is analyzed for diagnosis of adenocarcinomas. CK5 labels myoepithelial cells of breast and prostate basal cells. Cytokeratin 14 (CK14) is a 50-kDa keratin expressed in abundance in stratified epithelial cells, epidermal cells, basal cells, mesothelial cells, and myoepithelial cells in various tissues including breast and prostate. CK14 is helpful in the identification of breast cancer with basal phenotype. It has been reported that cytokeratin 5/14-positive breast cancers are true basal phenotype confined to BRCA1 tumors. Monoclonal antibodies against cytokeratin proteins can be useful markers for tumor classification and identification. Belonging to the type A (acidic) subfamily of low molecular weight keratins and existing in combination with keratin 5, keratin 14 distinguishes stratified epithelial cells from simple epithelial cells and is useful in identification of squamous cell carcinomas. It is considered a prognostic marker in breast carcinomas.?
| Intended Use | IVD |
|---|---|
| Antibody Type | Monoclonal |
| Clone | EP24 + EP61 |
| Source | Rabbit |
| Tissue Type/Cancer Type | Prostate |
| Pack | 0.5 mL – Manual – Concentrate, 1 mL – Manual – Concentrate, 6 mL – Manual – RTU, 50 Tests – Automation – Xmatrx, 100 Tests – Automation – i6000, 160 Tests – Automation – Xmatrx, 5 slides – Xmatrx, 5 slides – Manual |





