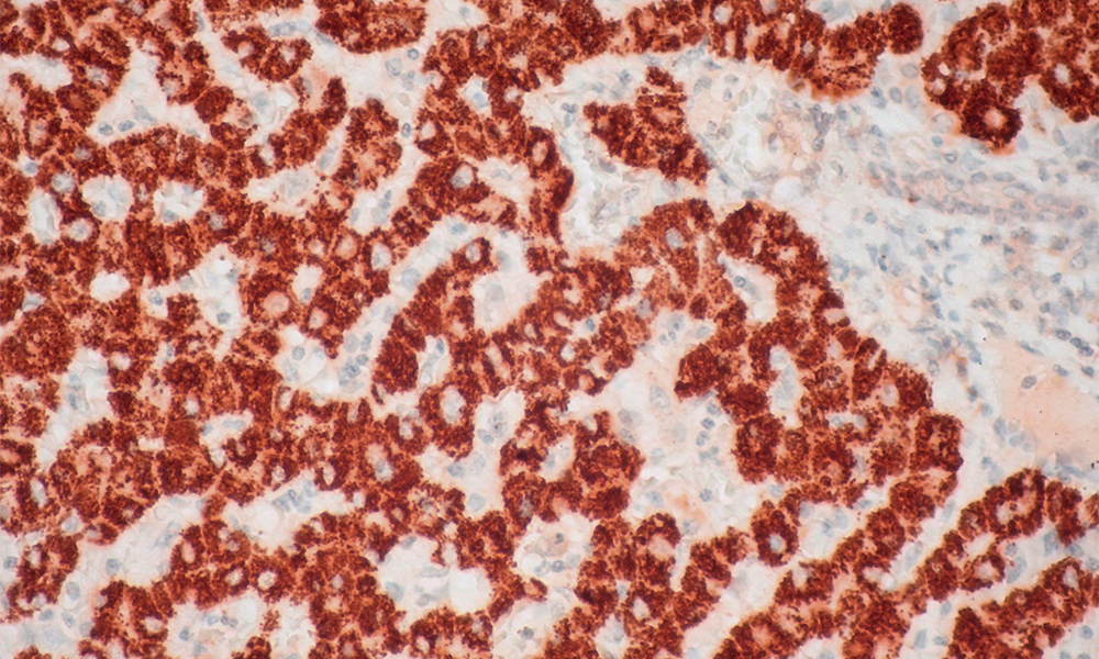
Anti-HSA
Hepatocyte Specific Antigen (HSA) has been demonstrated consistently in the vast majority of Hepatocellular Carcinomas. Studies have shown the utility of HSA in the differential diagnosis of Hepatocellular Carcinoma, Cholangiocarcinoma and Hepatoblastomas. HSA recognizes both benign and malignant liver derived tissues including such tumors as Hepatoblastoma, Hepatocellular Carcinoma, and Hepatic Adenoma. It recognizes both normal adult and fetal liver tissue. The typical pattern is a granular cytoplasmic staining. This antibody is useful in differentiating Hepatocellular Carcinomas with adenoid features from Adenocarcinomas, either primary in the liver or metastatic lesions to the liver. In recognizing Hepatoblastoma, it is useful in differentiating this entity from other small round cell tumorsses.
| Intended Use | IVD |
|---|---|
| Antibody Type | Monoclonal |
| Clone | HSA/E8 |
| Source | Mouse |
| Tissue Type/Cancer Type | Liver |
| Pack | 0.5 mL – Manual – Concentrate, 1 mL – Manual – Concentrate, 6 mL – Manual – RTU, 50 Tests – Automation – Xmatrx, 100 Tests – Automation – i6000, 160 Tests – Automation – Xmatrx, 5 slides – Xmatrx, 5 slides – Manual |





