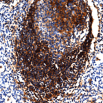
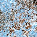
Quick Order Quick Order Name Email Address Company Address Catalog Number Quantity Message 3 + 7 = Submit Category Blocking Reagents Both Counterstain Country International US Detection Kit Detection Kit Detection kit 1-Step Polymer Kit Detection Kits - IHC 1-Step Polymer HRP Kits IHC AP Detection Kit IHC HRP Detection Kit IHC Mouse on Mouse 1-step Poly HRP kit New & Improved 1-Step Polymer HRP Kit IHC New & Improved Polymer HRP Kits IHC Polymer HRP Kits IHC Rapid Polymer HRP Kits IHC Double Staining eFISH Detection Kits ISH-Detection Kits Multiplex Detection Kits New & Improved Detection Kits Polymer HRP Kits IHC eFISH Enzymes for Tissue Processing Enzymes for Tissue Processing i6000 and Manual Instruments ISH Probes ISH-Detection Systems Links / Labels items-Manual Microscope Microchamber Slides & Coverslips for Xmatrx Microscope Slides & Accesories for i6000 and Manual Microscope Slides & Accessories Microscope Slides & Accessories miRNA Probes Primary Antibodies A Antibody Cocktail B C D E F G H I J K L M N O P R S T U V W Y Z Reagents Antigen Retrieval Solutions Blocking Reagents Blocking Reagents Buffers and Diluents Buffers eFSH Buffers ISH Buffers Counter Stains Detection Kit Dewaxing & Rehydration Reagents Diagnostic Antigen Retrieval Solutions eFISH Antigen Retrieval Solutions ISH Blocking Reagents ISH Enzymes Mounting Media eFISH Mount Media Nucleic Acid Retrieval Substrates & Chromogens ISH DAB replacements Slide Labels Vials Immunohistochemistry In situ Hybridization eFISH eFISH Probes eFISH Visualization Kits eFISH Visualization Kit Cyto eFISH Visualization Kit Histo Visualization Kit Ancillaries & Consumables Consumable Kits IHC Consumable Kits ISH Consumable Kits Counterstain and Mounting Media Counterstain Mounting PAP Pen Pipette Tips Reagent Vials & Accessories Reagent Vials & Accessories for i6000TM Diagnostics Reagent Vials & Accessories for Open system Automation Reagent Vials & Accessories for Xmatrx Elite Reagnet vials and accessories-1 Automation Detection Systems miRNA ISH Multiplexing & Double Staining Filters Sort results Reset Apply Anti-CD71 (transferrin Receptor) Select 50 tests - NanoVIP®5 slides - Manual5 slides - Xmatrx6 mL - Manual - RTU1 mL - Manual - Concentrate0.5 mL - Manual - Concentrate100 Tests - Automation - i6000160 Tests - Automation - Xmatrx50 Tests - Automation - Xmatrx Buy here Anti-CD71 (transferrin Receptor) Select 5 slides - Manual5 slides - Xmatrx6 mL - Manual - RTU100 Tests - Automation - i6000160 Tests - Automation - Xmatrx50 Tests - Automation - Xmatrx Buy here Anti-CD73 Select 50 tests - NanoVIP0.5 mL - Manual - Concentrate5 slides - Manual5 slides - Xmatrx6 mL - Manual - RTU1 mL - Manual - Concentrate100 Tests - Automation - i6000160 Tests - Automation - Xmatrx50 Tests - Automation - Xmatrx Buy here Anti-CD73 Select 0.5 mL - Manual - Concentrate5 slides - Manual5 slides - Xmatrx Buy here Anti-CD74 (B cell) Select 50 tests - NanoVIP®5 slides - Manual5 slides - Xmatrx6 mL - Manual - RTU1 mL - Manual - Concentrate0.5 mL - Manual - Concentrate100 Tests - Automation - i6000160 Tests - Automation - Xmatrx50 Tests - Automation - Xmatrx Buy here Anti-CD79a Select 50 tests - NanoVIP®5 slides - Manual5 slides - Xmatrx6 mL - Manual - RTU1 mL - Manual - Concentrate0.5 mL - Manual - Concentrate100 Tests - Automation - i6000160 Tests - Automation - Xmatrx50 Tests - Automation - Xmatrx Buy here Anti-CD79a Select 50 tests - NanoVIP5 slides - Manual5 slides - Xmatrx6 mL - Manual - RTU1 mL - Manual - Concentrate0.5 mL - Manual - Concentrate100 Tests - Automation - i6000160 Tests - Automation - Xmatrx50 Tests - Automation - Xmatrx Buy here Anti-CD79a Select 5 slides - Manual5 slides - Xmatrx6 mL - Manual - RTU1 mL - Manual - Concentrate0.5 mL - Manual - Concentrate100 Tests - Automation - i6000160 Tests - Automation - Xmatrx50 Tests - Automation - Xmatrx Buy here Anti-CD79a Select 1 mL – Manual – Concentrate0.5 mL – Manual – Concentrate5 slides - Manual5 slides - Xmatrx6 mL - Manual - RTU100 Tests - Automation - i600050 tests - NanoVIP160 Tests - Automation - Xmatrx50 Tests - Automation - Xmatrx Buy here Anti-CD8 Select 50 tests - NanoVIP®5 slides - Manual5 slides - Xmatrx6 mL - Manual - RTU1 mL - Manual - Concentrate0.5 mL - Manual - Concentrate100 Tests - Automation - i6000160 Tests - Automation - Xmatrx50 Tests - Automation - Xmatrx Buy here ‹ 1 … 25 26 27 … 147 ›