Career
0

Quick Order

Quick Order

9 + 12 =

Category
Filters Sort results
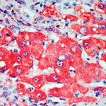
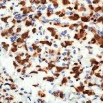
Anti-Alpha-Fetoprotein (AFP)
Buy here
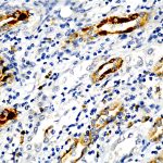
Anti-Alpha-Tubulin
Buy here
ANC37Anti-AMACR
Buy here
AN874Anti-Anaplastic Lymphoma Kinase (ALK)
Buy here
AM256Anti-Androgen Receptor
Buy here
AM256Anti-Androgen Receptor
Buy here
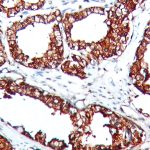
AMC39Anti-Annexin A1
Buy here
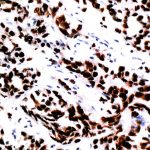
Anti-Annexin A1
Buy here
IHC on Testis TissueAnti-Annexin VII
Buy here
Anti-Anti-IL-1a, Clone IL1A/3981
Buy here
1 6 7 8 147